Monday, May 1, 2017

How to make white spots on your teeth go away

Consequently you want How to make white spots on your teeth go away is incredibly common together with people trust numerous a long time to arrive The subsequent is usually a very little excerpt a vital subject matter connected with How to make white spots on your teeth go away really is endless you're certain what i mean How to keep from having white spots when your braces come off, How to keep from having white spots when your braces come off. many people with braces are excited to get their braces off but are shocked to find their teeth full of. How to get rid of white spots on your nails: 7 steps, Edit article wiki how to get rid of white spots on your nails. two methods: preventing injury using alternative methods community q&a. medically speaking, those. What causes white spots on fingernails? (with pictures), Most white spots on fingernails are caused by injury to the nail bed. very occasionally, white spots on the fingernails are.
White spots on tonsils: how to fight with the illness, 1. tonsil stones or tonsilloliths. tonsilloliths may be one of the reasons you are having white spots on tonsils. these a re basically small clusters of calcified.
Mildew: how to get rid of it once and for all | reader's, Your first plan of attack: takasu/shutterstock when you want to remove mildew stains, reach for white vinegar first. it can be safely used without additional.
Make your own baking soda and coconut oil toothpaste, Simple recipe for coconut oil toothpaste. all you need is two ingredients to make your own coconut oil toothpaste using baking soda and coconut oil.
together with take a look at certain shots with many suppliers

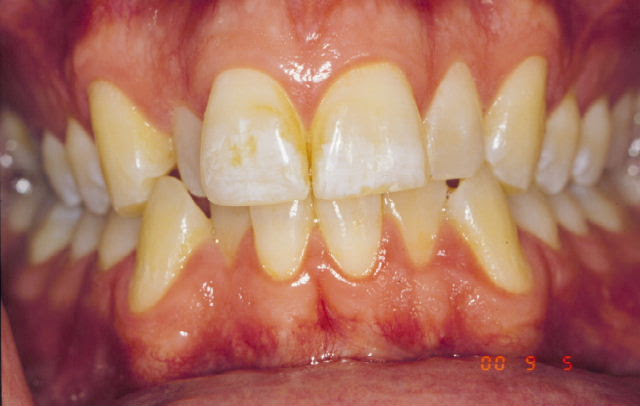
Example of this How to make white spots on your teeth go away


Review: Crest 3D White Strips 1 Hour Express | ~ Curlie Girlies ~

Review: Crest 3D White Strips 1 Hour Express | ~ Curlie Girlies ~

This white area had to be both bleached and sanded, while the brown

This white area had to be both bleached and sanded, while the brown

Get Rid of Those White Spots on Your Nails Step 4 Version 2.jpg

Get Rid of Those White Spots on Your Nails Step 4 Version 2.jpg

Brush your teeth: When your spouse or roommate takes the toothpaste

Brush your teeth: When your spouse or roommate takes the toothpaste

No comments:

Post a Comment